


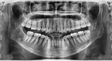
저선량 CT로 방사선량이 감소하고
저선량 소아모드 기능이 있어
기존 CT 촬영에 비해 낮은 방사선량으로
진단이 가능합니다.

기존 임플란트, 금니 등 보철치료를 할 때
고무 인상채득 후 작업을 하는 번거로운 과정
없이 구강내를 작은 카매라를 통해 스캔하여
보다 정밀하게 본을 뜰 수 있는 장비입니다.

임플란트의 안정도를 측정하는 기기

자기장을 이용하여 작은 진동으로 부드럽고 편안하게 스케일링 시술을 제공합니다.

마취액을 천천히 주입하여 마취 시 통증을 줄여줍니다.

시술 시 출혈, 통증, 소음이 거의 없어 절개 시 발생할 수 있는 통증을 줄여줍니다.


저출력 적외선을 통해 피부 깊숙이 침투하여 턱관절 근육이완을 도와주는 치료기기 입니다.

의료환경 전문가가 직접 방문해 각종 질환 및 전염성 질환을 일으킬 수 있는 유해 세균과 바이러스에 대해 정밀하게 진단 및 솔루션 제공을 통해깨끗하고 안전한 의료 환경을 만들 수 있도록 해주는 철저한 위생관리 시스템 입니다.

핸드피스, 교정기구,임플란트 키트 등 의료기구를 안정성 높게 멸균할 수 있습니다.

진공/압력 펄스를 적용한 진공 멸균과 공기제거 장치를 사용하여 공기를 제거해 주어 의료용품을 멸균해 줍니다.

실내 미세먼지 완벽 제거, 인증받은 헤파필터로 완벽하게 공기질을 관리합니다.